Clinical Tips
-
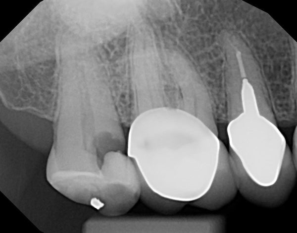
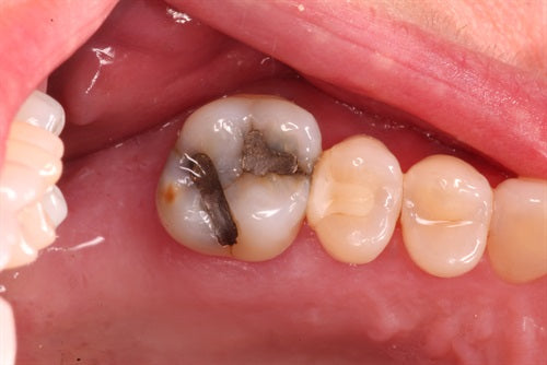
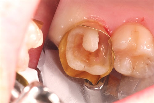
Deep Decay Restoration
Posted on February 02 2026
Introduction: Amalgam restoration to be placed into tooth #15. The tooth has deep distal decay at bone level or very close. Greater Curve Wide Band establishes an excellent seal. Note... Read More
-
Greater Curve Band for monster filling
Posted on October 08 2025
This case was completed by Dr. Ahmad Fayad of Lessard Dental located in Alberta, Canada. In this video, Dr. Fayad walks you through creating two beautiful, long-lasting fillings in large, deep, subgingival... Read More
-
Class II Restoration on Lower Second Premolar
Posted on July 16 2025
Introduction: This case was completed by Dr. Raul Costa, a Cosmetic and Restorative dentist, practicing at Wimpole Street Dental Clinic in London. You can see more of his work on... Read More
-
Two Class III's - One matrix band
Posted on April 24 2025
A tofflemire for anteriors? May seem odd, but in reality, Greater Curve bands are an excellent choice for isolating hands free Class III's and simultaneously providing ample access for... Read More
-
Difficult posterior restoration by Dr. Arthur R. Volker
Posted on February 25 2025
Introduction This case was completed by Dr. Arthur R. Volker of DentCare Dental Center in Sunnyside, NY. The need for isolation is of primary importance for the execution of high-level operative dental... Read More
-
MB #29 Instead of Monster MOB by Dr. Arthur R. Volker
Posted on February 27 2024
Introduction: This case was completed by Dr. Arthur R. Volker of DentCare Dental Center in Sunnyside, NY. The patient presented with a mesial lesion under the CEJ. I had often... Read More
-
Dahl technique Doc Terry style by Dr. Ahmad Fayad
Posted on January 16 2024
Introduction: 40 year old female on a tight budget and is slowly losing her teeth. She was referred to me by another patient who had the same style buildups. Decided... Read More
-
Large composite build up Tooth #11
Posted on August 16 2023
Introduction: I like this case because it is a tricky combo Class IV – Class V. With the Greater Curve technique, the dentist has the capability to restore this tooth... Read More
-
Greater Curve Band and Stamp Technique
Posted on July 10 2023
Introduction: This case was completed by Dr. Sunny in the UK. He offers one day courses in the UK covering the Greater Curve technique. https://drecomposite.com/ This is a great challenging... Read More
-
Restoring Difficult Wrap Around Caries - Dr. N. Cory Glenn
Posted on May 31 2023
-
Recurrent caries under crown - "Thinking outside of the box" by Dr. Ahmad Fayad
Posted on March 22 2023
Introduction: This case was completed by Dr. Ahmad Fayad of Lessard Dental located in Alberta, Canada. Food impaction area that caused massive carious lesion at the distal of the lower... Read More
-
What is the best way to make a contact area on a Class II RBC?
Posted on February 22 2023
In this video, Gordon J. Christensen discusses this topic and why he prefers Greater Curve bands. We are proud to be one of Gordon's favorite and most recommended matrix products... Read More
-
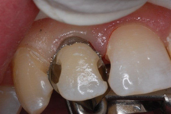
Matrix within a matrix to seal distal margin
Posted on January 11 2023
Introduction: The distal decay extended deep onto the root. As a consequence, I struggled to get the Greater Curve band to extend beyond the distal margin. This great technique solves... Read More
-
Composite repair for uneven incisal wear
Posted on October 19 2022
Introduction: Patient did not like the unevenness of his front teeth. Upon close examination, I observed both #'s 8 & 9 have a palatal inclination. I can now add composite... Read More
-
Beyond Dentistry discusses the best matrix band for composite
Posted on September 19 2022
This video was made by Adam White, DDS with Beyond Dentistry and hits on all the points of the Greater Curve matrix system. Below is the video description from Beyond... Read More
-
Extremely difficult lower anteriors
Posted on June 13 2022
Introduction: This case was completed by Dr. Sunny (@smilesbysunny) from the UK. He offers one day courses (@drecomposite) in the UK covering the Greater Curve technique. Dr. Sunny acknowledges he can... Read More
-
Class V on Lower Premolar by Kevin Anderson DMD
Posted on February 15 2022
Introduction: This case was completed by Kevin Anderson of All Family Dental located in Oakdale, Minnesota. Class V restorations on lower premolars can be very challenging to isolate when they wrap... Read More
-
Keeping the Greater Curve band within the retainer
Posted on January 13 2022
Introduction: The Greater Curve band flares to the proximal surfaces and provides an excellent seal. However, the band curvature can cause the matrix to migrate out of the slots of... Read More
-
Direct Composite Veneers
Posted on October 26 2021
Improve your Direct Composite Veneers with Greater Curve Greater Curve U-Band removes the stress of placing direct composite veneers. The U-Band provides complete isolation and simultaneously fashions the veneer border.... Read More
-
Margin Elevation by Clint K. Taura, DDS
Posted on September 24 2021
Introduction: This case by Clint Taura, DDS is a wonderful example of how a sectional matrix secured inside a Greater Curve band can provide an excellent subgingival seal and isolation.... Read More
-
Let's violate biologic width and see what happens
Posted on February 24 2021
#18 has deep cervical decay at the distal Step 1 Patients chief complaint was food impaction. All decay has been removed Step 2 DL margin was flush with the bone... Read More
-
Very deep subgingival decay on the mesial of an isolated molar
Posted on August 10 2020
Introduction: A method to handle seemly bottomless sub gingival decay. Before tooth #14 Tooth #14 is mobile but does provide some support for a metal upper partial. The tooth... Read More
-
Direct composite crown replacing fractured Lithium Disilicate crown - With 8 month follow up
Posted on June 10 2020
Introduction: Two factors set up this lithium disilicate crown for fracture: 1) Endo asscess weakened it. 2) Occlusal thickness not adequate. Crown has fractured Distal half of lithium disilicate crown has... Read More
-
Direct composite veneers #'s 8 & 9
Posted on February 04 2020
Introduction: #'s 8 & 9 have incisal wear and are lingually inclined. Perfect for no prep veneers. Patient chose direct composite over porcelain due to cost. Before Before... Read More
-
Managing fractured marginal ridge
Posted on December 17 2019
Introduction: Ribbond will not stop a tooth from fracturing but Ribbond can divert forces side ways. As a result, the tooth fractures laterally. A lateral fracture increase the odds the... Read More
-
Class III CompositeTechniques
Posted on October 23 2019
Before Class III lesions on #'s 6,7 & 8. Setup #7 Double Class III's can be completed at the same time. Retainer with Greater Curve Wide set up on the... Read More
-
Greater Curve Brass band for Anteriors
Posted on September 23 2019
Introduction: The softer GC Brass band has no bounce back when burnishing. However, it is thin and stiff enough to slide through most contacts. Before Step 1 I will... Read More
-
Restoring a Class V lesion and protecting thin friable gingiva from damage
Posted on August 13 2019
Introduction: Traditional method of placing retraction cord damages thin friable gingiva. Not good. #22 Prepped Class V prep tooth #22. Very little attached gingiva. Greater Curve U-Band The U-Band... Read More
-
Managing deep root decay and a wide embrasure as an unwanted bonus
Posted on June 06 2019
Introduction: Isolating a deep root decay prep is challenging. This is only the beginning. You must also construct a tight contact while bridging a wide interproximal gap. Double Jeopardy... Read More
-
Direct Pulp Cap by Dr. Ahmad Fayad
Posted on May 15 2019
Noteworthy use of the Greater Curve technique by Dr. Ahmad Fayad. Introduction: 28 year old female with senstive Upper left first molar #26. No spontaneous pain, no lingering pain, no... Read More
-
Lower Class IV composites are difficult
Posted on April 04 2019
Introduction: Lower Class IV's can be demanding. Positioning a matrix correctly is tricky because forming both an emergence contour and an anatomical tight contact is unpredictable. The Greater Curve bands... Read More
-
Ribbond splinted bridge with 5 year follow up
Posted on March 02 2019
Introduction: As per patient, bonded composite bridge is 12 years old. It was done intraoral using Ribbond as a fiber reinforcement. Bridge was holding strong until her grandchild bumped the... Read More
-
A method to restore root caries
Posted on January 28 2019
Introduction: Great case submitted by Dr. Ahmad Fayd. I get these root caries frequently, where the occlusal surface is usually intact with a huge defect on the root. In my... Read More
-
Direct composite onlay made simpler with occlusal stamping.
Posted on January 08 2019
Introduction: I have had great success with composite onlays, including teeth with root canals. Composite onlays are much more conservative than crowns. It is important to have a minimum of... Read More
-
Greater Curve Standard Brass Band- MODL composite #2
Posted on October 23 2018
Introduction: The malleability of the Greater Curve brass makes it easier to burnish desirable contours and make contact openings. Before #2 Step 1 Prep Step 2 Considered recommending... Read More
-
Lingual root Class V caries on #18
Posted on August 08 2018
Lingual root caries on molars can be hard to access and keep isolated. Before Step 1 Class V subgingival caries on the mesial lingual root of #18 Prepped Step 2... Read More
-
U-Band on #22
Posted on April 09 2018
Introduction: The following case was received from a GC customer. Great work! Root canal or crown lenghtening are out of question. It is save or extract Tooth 22. X-ray... Read More
-
#16 Large composite by Dr. Ahmad Fayad
Posted on February 24 2018
The below case was completed and documented by our guest presenter, Dr. Ahmad Fayad. This is a great example of a Greater Curve band and technique at work! Introduction: In... Read More
-
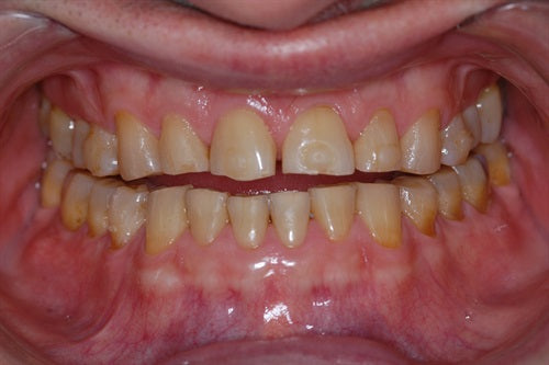
Full upper arch composite rehab 8 years later
Posted on January 30 2018
Introduction: So far this additive composite rehab is working well. Had one recent glitch which was easily correctable. October 2009 Patient's occlusion post invisilign. October 2009 Appearance of teeth... Read More
-
Matrix within a matrix to seal distal margin
Posted on January 02 2018
Introduction: I Learned this trick from others on Dental Town. Passing it on. Matrix within a matrix Step 1 Struggled to get Greater Curve band to go beyond the... Read More
-
New Greater Curve U-Band in action
Posted on November 21 2017
Introduction: Maintaining isolation on a labial access for #22 endo using the new Greataer Curve U-Band. This case is borderline herodontics. However, I believe it has a good chance for... Read More
-
Subgingival distal Class V tooth #29
Posted on September 28 2017
Introduction: A method to isolate and attain access to an inaccessible location. Greater Curve Band surrounds tooth #29 Step 1 I failed to take a preopt photo. Decay was at... Read More
-
Conservative Treatment of a Fractured Tooth
Posted on August 23 2017
Before Step 1 Distal lingual cusp on tooth #19 is pressure sensitive to a tooth sleuth. Remaining cusps are solid. Greater Curve in place Step 2 Distal contact opening... Read More
-
VIDEO: Back to back Class IV's on overlapped teeth
Posted on July 05 2017
Back to back class IV's on overlapped teeth using the Greater Curve Wide Band. Read More
-
VIDEO: Class II Restoration
Posted on June 14 2017
Using the Greater Curve Standard band for a class II restoration. Read More
-
Saving a cental with deep subgingival external root resorption.
Posted on May 08 2017
Xray Step 1 Resorption included the pulp. Greater Curve Standard Band in place Step 2 I placed the Greater Curve Standard Band before I realized this would be a... Read More
-
VIDEO: Greater Curve Standard - Class II Restoration
Posted on April 17 2017
Class II restoration on tooth #3 using the Greater Curve Standard Band. Read More
-
VIDEO: Greater Curve Wide - Class III #9
Posted on March 09 2017
Class III restoration using the Greater Curve Wide band on tooth #9. Read More
















































Connect