Class III Composite
-
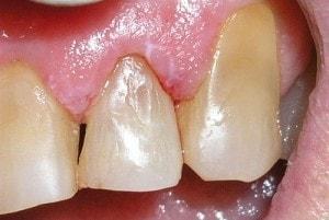
DB tooth #6
Subgingival prep
A wedge will indent a mylar strip, thus making a flat emergence contour and a black triangle.
Subgingival preps are difficult to seal via wedges and mylar strips. -
Greater Curve "Wide" in place
The matrix was secured around the tooth.
Access window was cut with a carbide or diamond (use whatever is in your hand piece at the time). Rounded contour burnished into the matrix. -
Ready for shaping and finishing
-
Final Restoration
-
DB tooth #10
Class III prepped and ready for fill on tooth #10
-
Greater Curve standard band in place
Retainer for the matrix has been placed on the labial. Due to the arc of the Greater Curve band, the cavity prep is very accessible. A portion of the band has been cut away on the lingual providing additional access. A contact opening is created with a small football finishing bur using a side to side motion. The transition from the periphery of the opening to the adjacent tooth is imperceptible.
-
The cavity prep has been filled
The bond to the opposing contact is easily broken with a metal spatula.
The bond is weak due to its small size, and the bond was against the smooth surface of the adjacent tooth contact.
-
Incisal view of finished distal Class III restoration on tooth #10
-
Finished restoration at the distal of tooth #10
Note the rounded emergence contour at the distal is easily accomplished with the Greater Curve Technique.
The mesial was previously restored with the traditional mylar strip and a wood wedge. As expected, the mesial contour is flattened leaving a black triangle.

Connect