Veneers
Advantages of Direct Composite Veneers:
- Less cost to the patient
- Placed in one appointment
- Conservation of tooth structure
- Margins seal better on root dentin
- Easily repaired
- Veneer can be bonded sub gingival
Direct Composite Veneers #’S 4-13
Before

Before
After

After
This patient was an excellent candidate for Direct Composite veneers
Cervical erosion existed on all the anterior teeth. Previous attempts were failing. Teeth were triangular shaped. Indirect veneers would require interproximal tooth reduction. Direct composite bonding provided an essentially reversible procedure.
-
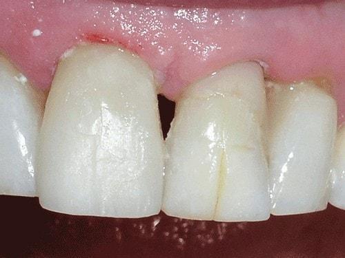
Old composite completely removed from tooth #8
-
Gingiva displaced with complete isolation
Note the cervical erosion some of which was sub gingival. Plenty of access to the interproximals.
-
Composite Placement
Flowable composite placed first into the interproximals and onto the erosive surface. This provided a bubble free and sealed margin. Kerr’s A1 Point 4 used secondarily to finish out the veneer.
-
Direct composite veneer completed on tooth #8
DIRECT COMPOSITE VENEERS #’S 7-10
After

After
Before

Before
This patient was an excellent candidate for Direct Composite veneers
Cervical erosion existed on all the anterior teeth. Previous attempts were failing. Teeth were triangular shaped. Indirect veneers would require interproximal tooth reduction. Direct composite bonding provided an essentially reversible procedure.
-
Setup for tooth #8
Note complete sub gingival isolation with ample access to the interproximals. Clear Triad gel (Dentsply) used to secure the tofflemire retainer.
-
Flowable composite placed
Flowable composite placed first into the interproximals and onto the erosive surface. This provided a bubble free and sealed margin. Kerr’s A1 Point 4 used secondarily to finish out the veneer.
-
Tooth #8 ready for shaping
Tooth #8 ready for shaping immediately after tofflemire matrix removed. Tooth #8 sets up tooth for the remaining treatment. It dictates tooth length and width. The embrasure line angles must be with the long axis of the face
-
Ensuring centrals are equal
It is important the two centrals are equal width. The Boley Gauge helps determine equal width of 8&9 before moving on to tooth #9.
Connect