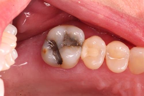
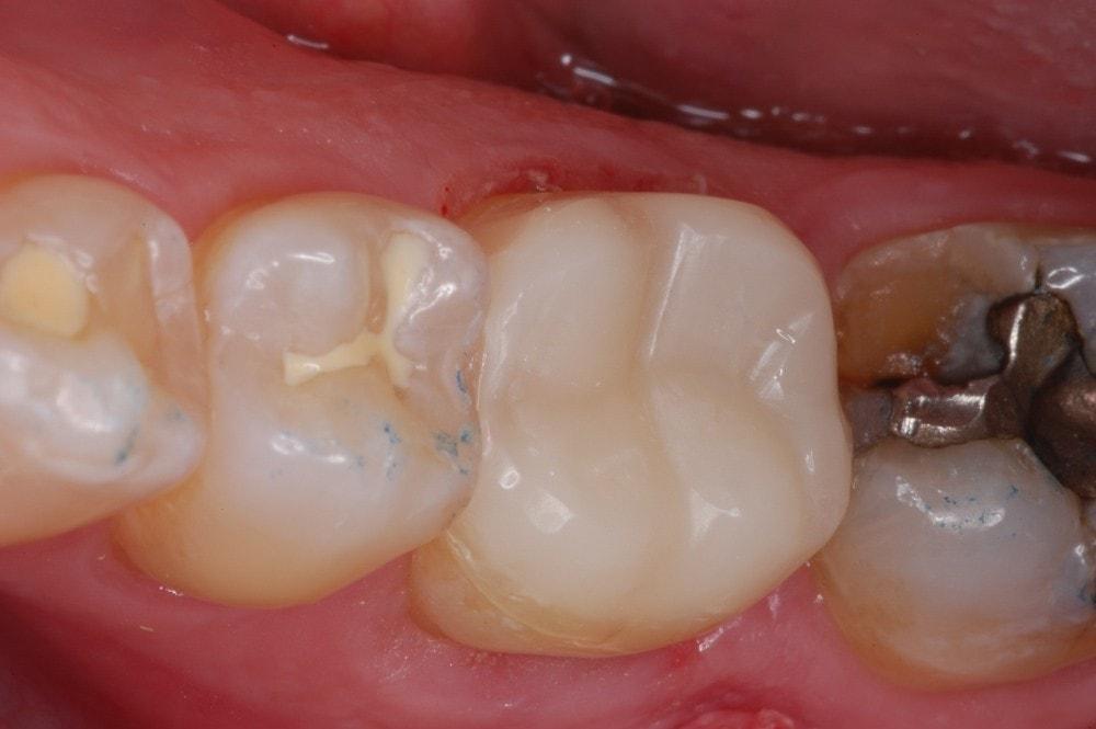
Managing fractured marginal ridge
Introduction:
Ribbond will not stop a tooth from fracturing but Ribbond can divert forces side ways. As a result, the tooth fractures laterally. A lateral fracture increase the odds the tooth can be restored. A vertical fracture is catastrophic.



Connect