Class IV Composite
-
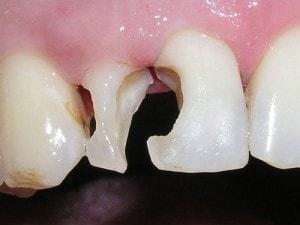
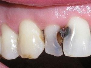
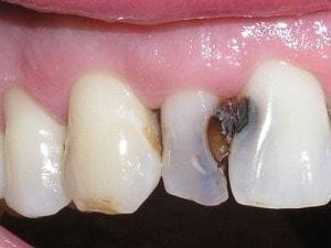
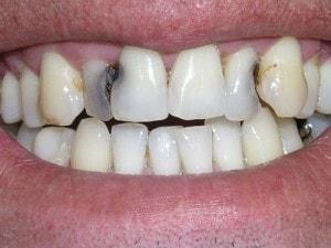
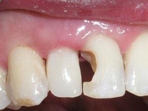
Caries in incisor teeth
Decay in teeth #'s 7, 8, and 10
Immediate objective is to manage the more serious cavities, and then address periodontal issues.
-
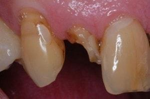
Restoration complicated by overlap
-
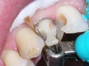
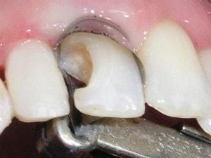
Carles removed
Enamel tapered on both preps. Enamel taper includes the entire labial of tooth #7. Many call this an apple core prep.
-
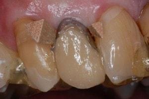
Apple core prep isolated with the Greater Curve Standard band
Matrix secured with Mega Bite (Discus Dental).
A portion of the matrix has been cut away intra-orally with a diamond or carbide to provide access. The distal contact opening will be established by smoothing away the matrix with a football finishing bur. -
Composite placement
Pentron's Artiste Flowable. Kerr's Premise opacious shade A2 snowplowed into the Flowable.
Kerr's Premise Body shades A2 at the cervical 1/3 and A1 incisal 2/'3's to complete the restoration. (This photo was taken prior to adding the Body shades.) -
Final layers of composite
As mentioned above Kerr’s Premise Body shades A2 & A1 provide the final layers of composite.
-
Appearance of tooth before shaping
-
#7 completed
-
Set up for #8
As done previously matrix is cut back intra-orally. Distal contact “smoothed in” with football finishing bur.
-
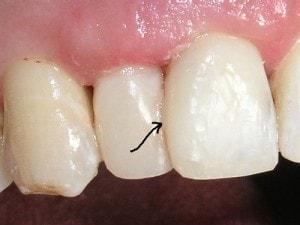
#’s 7 & 8 completed
Arrow shows a distal area which needs to be shaped better. When patient returns I will improve on the contour with a #15 blade.
-
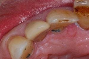
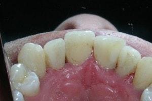
Lingual view of completed restorations
Note how #7 is lingual #8. With the Greater Curve Matrix overlapped anterior teeth do not present a challenge.
-
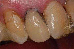
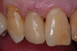
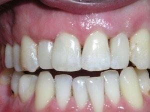
Completed restorations
-
Composite buildup
Tooth #7 is vital
Crown would require root canal and post for retention. Unfortunately, there is no ferrule for a crown.
-
Pre-opt incisal view
-
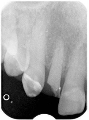
PA #7
-
Greater Curve standard in place
Matrix trimmed labially. Contact openings made. Wood wedges are lightly placed to secure the matrix only. The wood wedges are not used to force the teeth apart. Wedging in the traditional sense is not necessary, since the contacts will be a direct build against the adjacent teeth. In lieu of using a retainer Triad Gel holds the matrix in the proper position.
-
first increment of flowable
Matrix held against the mesial of #6 while the first increment of flowable was placed. This procedure locks the matrix against the mesial of #6.
-
Completed build up
Premise A3.5 Opacious and Premise A3.5 Body complete the Build Up.
-
Do not rush the removal of thematrix
Do much of the initial trimming with the matrix left in place. The stainless matrix guides the long fluted finishing bur along the cervical and prevents gouging. You will be cutting matrix and composite simultaneously.
-
Contact is broken
Contact is broken with the blade end of a composite placing instrument. Matrix severed in the middle, and each segment lifted through the contact. Distal matrix segment can be seen being lifted through the contact (see arrow).
-
Completed #7 composite Build Up
-
Incisal view #7

Connect